15 квіт. 2026 09:26

У Києві лікарі успішно прооперували 29-річну пацієнтку з рідкісною патологією підшлункової залози.
Про це повідомили у Національному науковому центрі хірургії та трансплантології імені О.О. Шалімова.
Історія хвороби Ірини почалася ще в дитинстві: з шести років вона страждала від сильного болю в животі, нудоти та блювання. Тоді лікарі пояснювали симптоми деформацією жовчного міхура, а згодом напади зникли.
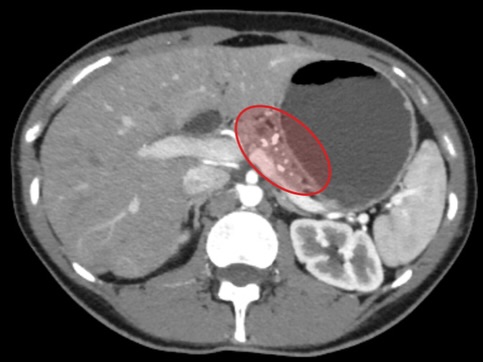
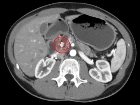
Під час нещодавнього планового обстеження медики виявили несподівану патологію — каміння у підшлунковій залозі, що є вкрай рідкісним і небезпечним станом. Таке захворювання може призвести до гострого панкреатиту або механічної жовтяниці через порушення відтоку жовчі та панкреатичних соків.
Пацієнтці порадили звернутися до спеціалізованого центру, де хірурги мають значний досвід лікування таких випадків. Фахівці застосували сучасний малотравматичний підхід.
Ірині виконали мініінвазивну лапароскопічну операцію Фрея, під час якої видалили конкременти, очистили протоки та частково висікли уражені тканини підшлункової залози. Втручання пройшло успішно та забезпечило швидке відновлення.
Після тижня під наглядом лікарів пацієнтку у задовільному стані виписали додому.


Свіжі новини у
вашому смартфоні! Підписуйтесь на Київ.info у
Телеграм t.me/kyiv_info_nmnm
Київ.info, фото медзакладу