1 груд. 2025 11:45

Київські лікарі успішно прооперували 78-річного жителя Світловодська, у якого виявили критичну аневризму черевної аорти з розривом.
Про це повідомили у Національному Науковому Центрі хірургії та трансплантології імені О.О.Шалімова.
До лікарів чоловік звернувся після раптового різкого болю в нижній частині живота, нирках та кульшових суглобах, що виник після гарячого душу. У місцевій лікарні медики виявили аневризму аорти й терміново направили пацієнта до Центру Шалімова.

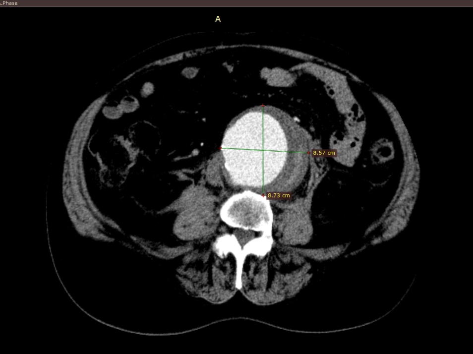
Під час повторного КТ там встановили, що аневризма досягла понад 10 см та супроводжувалася розривом задньої стінки, через що утворилася велика заочеревинна гематома, яка становила пряму загрозу життю. Команда судинних хірургів оперативно провела резекцію ураженої ділянки аорти та виконала лінійне алопротезування.
У післяопераційному періоді стан пацієнта значно покращився: біль та інші небезпечні симптоми зникли. Валентин Іванович подякував лікарям за професіоналізм і людяність.
У Центрі підкреслили, що й надалі надають високоспеціалізовану медичну допомогу на найвищому рівні та цінують довіру кожного пацієнта.
Свіжі новини у вашому
смартфоні! Підписуйтесь на Київ.info у Телеграм t.me/kyiv_info_nmnm
Київ.info, фото медзакладу